Даже совсем молодые женщины и мужчины не защищены от такого заболевания, как пародонтит.
К счастью, современная стоматология имеет множество способов вернуть красивую улыбку.
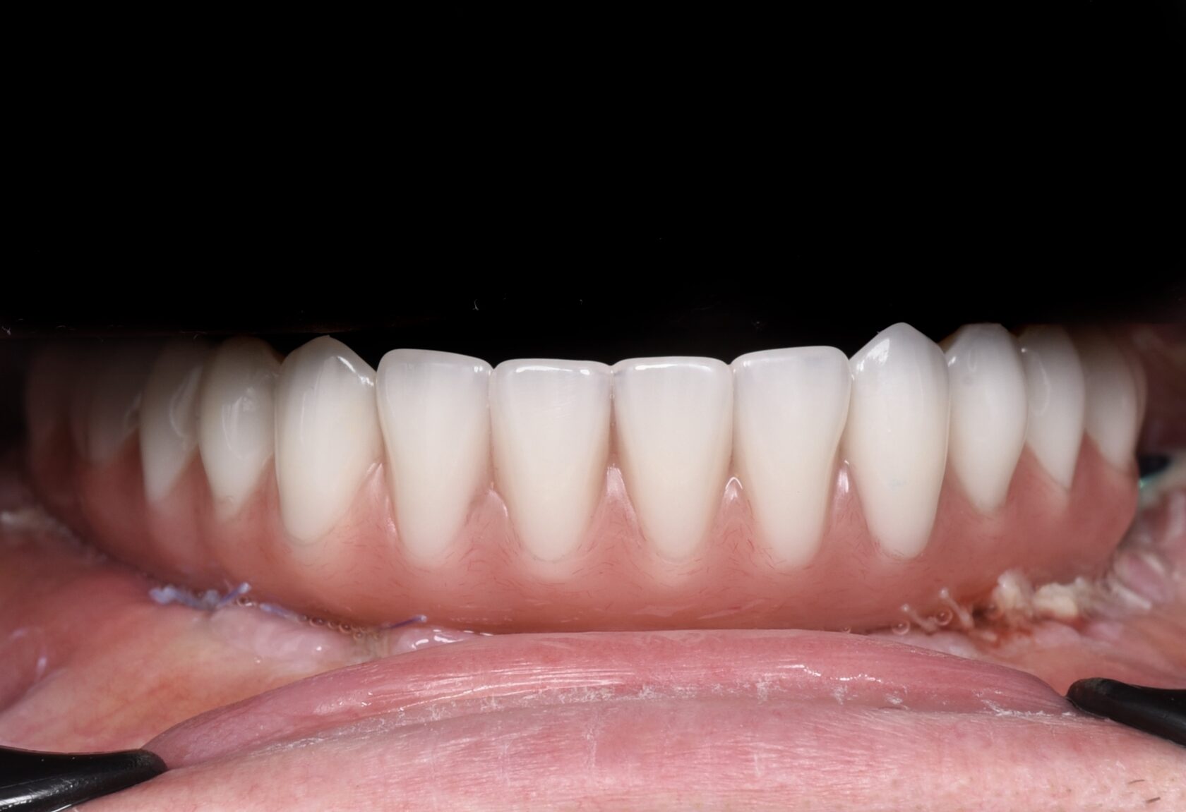
В этот раз к нам обратился молодой пациент с тяжелой формой пародонтита (3 стадия).
Вследствие хронического воспаления часть зубов уже отсутствовала, подвижность 3 степени и оголение корня более 1/2
К сожалению пациент обратился уже слишком поздно и спасти свои зубы не представлялось возможным, хотя мы часто пишем о лечении пародонтита.
На более ранней стадии можно было провести лечение десен с помощью кюретажа и ,при желании, улучшить эстетику с помощью виниров и коронок .
В данном же случае мы прибегли к протезированию по методике «все на 6».
Наши постоянные читатели уже очень много знают об этой методике, но напомним как все происходит:
В первое посещение проводится диагностика со сканированием, после которой наш техник создает уникальный прототип и хирургический шаблон.
Буквально через день-два мы уже можем проводить операцию, в ходе которой удаляются все оставшиеся зубы, устанавливаются имплантаты и проводится повторное сканирование или снятие оттиска для изготовления индивидуального высокоэстетичного протеза.
И уже в течение следующих 3-5 суток мы проводим примерку и фиксацию протеза.
То есть, всего за 3-4-5 дней пациент обретает новые красивые зубы, может снова улыбаться, есть и разговаривать!
Да, такой метод восстановления действительно потрясающий, но не стоит забывать, что ни один имплант все равно не заменит своих зубов!
Вы можете приехать к нам не за радикальными методами спасения, а за лечением десен и зубов, ведь установить импланты всегда успеем, а вот лечить уже может оказаться поздно...
Вследствие хронического воспаления часть зубов уже отсутствовала, подвижность 3 степени и оголение корня более 1/2
К сожалению пациент обратился уже слишком поздно и спасти свои зубы не представлялось возможным, хотя мы часто пишем о лечении пародонтита.
На более ранней стадии можно было провести лечение десен с помощью кюретажа и ,при желании, улучшить эстетику с помощью виниров и коронок .
В данном же случае мы прибегли к протезированию по методике «все на 6».
Наши постоянные читатели уже очень много знают об этой методике, но напомним как все происходит:
В первое посещение проводится диагностика со сканированием, после которой наш техник создает уникальный прототип и хирургический шаблон.
Буквально через день-два мы уже можем проводить операцию, в ходе которой удаляются все оставшиеся зубы, устанавливаются имплантаты и проводится повторное сканирование или снятие оттиска для изготовления индивидуального высокоэстетичного протеза.
И уже в течение следующих 3-5 суток мы проводим примерку и фиксацию протеза.
То есть, всего за 3-4-5 дней пациент обретает новые красивые зубы, может снова улыбаться, есть и разговаривать!
Да, такой метод восстановления действительно потрясающий, но не стоит забывать, что ни один имплант все равно не заменит своих зубов!
Вы можете приехать к нам не за радикальными методами спасения, а за лечением десен и зубов, ведь установить импланты всегда успеем, а вот лечить уже может оказаться поздно...
